
Diagnosis of Microvascular Angina






Clinical Assessment
Non Invasive Tests
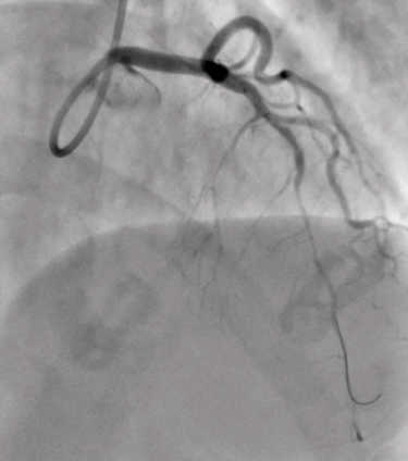
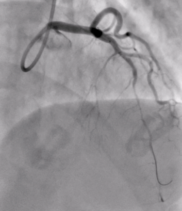
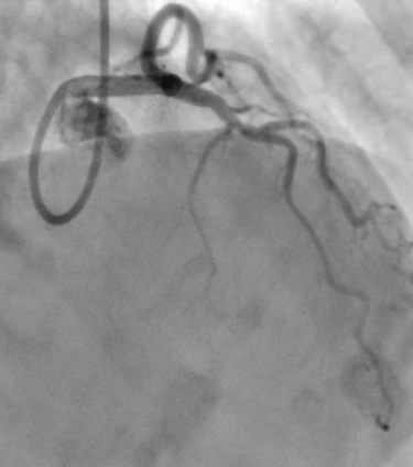
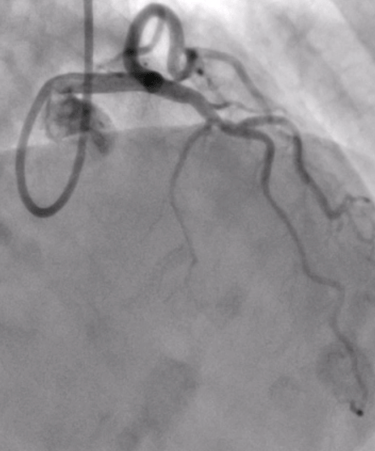
Invasive Tests
Symptoms


Common Triggers
93%


81%
Chest Pain
Shortness of Breath


Fatigue
88%






80%
Emotional Stress
Exercise
73%
Cold Environment
49%








ECG
Stress ECG
Cardiac CT
SPECT
Stress MRI
Invasive Angiography with Physiology & VasoReactivity tests








Bolus Thermodilution (CFR & IMR)
Continuous Thermodilution (CFR & MMR)
Acetylcholine Vasoreactivity Test





Diagnosis after 1 year
Diagnosis after 3 years




6 go through > 4 consultations before diagnosis


5 consult > 3 Cardiologists before diagnosis


5 are referred to Gastro Review
Out of 10 Patients with Microvascular Angina
3 are referred to a Psychiatrist




6 had presented to ED at least once
Diagnosis of Microvascular Angina
The Right Expertise Matters
6 are told symptoms not cardiac
7 are discharged with no diagnosis and no treatment




Oxford Microvascular Angina Service
Comprehensive, Streamlined and Prompt Access to Expert Consultation and Full Breath of both Non-Invasive & Invasive Investigations


Expert Consultation




Advanced & Guidelines-Indicated State-of-the Art Invasive Diagnostics
Definitve & Accurate Diagnosis
Non-Invasive Diagnostics


Contact
Get in touch for expert consultation.
Connect
© 2025. All rights reserved.
